Beeld diagnostiek

Beeld diagnostiek

Beeld diagnostiek

Inleiding

Vanuit de proeve:

Werkproces 5.3 Voert beeldvormende technieken uit

Wijze van beoordelen

Eerst observeren de assessoren de uitvoering. Ze bespreken dit werkproces ook in het criteriumgericht

interview.

Onderwerpen in het criteriumgericht interview

1. De gemaakte keuzes bij het bewaken van de veiligheid

2. De kwaliteit van de gemaakte foto’s

Portret voor voldoende

Je maakt een kwalitatief goede röntgenfoto. Je hanteert het dier hierbij vakkundig.

Oordeel over het werkproces voldoende/onvoldoende

Bij 'onvoldoende' kruisen de assessoren hieronder minimaal één criterium aan dat hiervan de oorzaak is.

Bij het oordeel 'voldoende' wordt hieronder niets aangekruist.

1 Röntgenapparaat vakkundig bedienen (inclusief strooistralenrooster)

2 Veiligheidskleding correct gebruiken

3 Dier vakkundig hanteren

4 Kwalitatief goede foto’s maken

5 Kwaliteit van de gemaakte foto’s beoordelen

6 Hulpmiddelen correct gebruiken

Toelichting assessoren (verplicht als werkproces onvoldoende is):

Een verdere beschrijving van deze leeractiviteit vind je hier.

 

 

Toetsrooster en microrooster Zwolle

Het microrooster van dit schooljaar vind je op intranet.

Het toetsrooster staat hieronder vermeld.

 

Toetsrooster  Zwolle 17-18

 

Datum

Toets

Weging

Ondergrens

10 oktober 17

Woordjes toets 1 (Hs 1)

0.1

4

7 november 17

Woordjes toets 2 (Hs 2)

0.1

4

21 november 17

Woordjes toets 3 (Hs 3)

0.1

4
9 januari 18 Theorie toets (boek, wikiwijs en lessen) 0.3 4
6 februari 18 Portfolio 2 en 3 (digitale rontgen en andere aanvullende beelddiagnostiek)

0.2

4
13 februari 18 Portfolio 1 (workshop of paard)

0.2

4
   

 

 

 

Portfolio opdrachten lever je digitaal in:

  • Via je schoolmail, t.a.v. je vakdocent

 

Let op: Als je afwezig bent bij de toets (of niet inlevert op de gestelde deadline) vervalt je eerste kans en geldt de eerstvolgende poging al als een herkansing! Stel dat er aan het eind een onvoldoende gemiddeld eindresultaat is, dan mag deze toets/ opdracht dus NIET nogmaals herkansd worden!

 

Toetsrooster en microrooster Hardenberg

Het microrooster van dit schooljaar vind je op intranet.

 

 

Toetsrooster  Hardenberg 17-18

 

Datum

Toets

Weging

Ondergrens

22 jan 2018

Woordjes toets 1 (Hs 1)

0.1

4

29 jan 2018

Woordjes toets 2 (Hs 2)

0.1

4

5 feb 2018

Woordjes toets 3 (Hs 3)

0.1

4

26 mrt 2018

Portfolio 2

0.1

4

26 mrt 2018

Portfolio 3

0.1

4

26 mrt 2018

Theorie toets (diktaat en lessen)

0.3

4

 

Portfolio 1 = LIP--> zie Planning LIP op woensdag

 

0.2

4

 

Portfolio opdrachten lever je digitaal in.

 

Let op: Herkansingen zijn pas mogelijk, als alle toetsen en opdrachten een eerste keer gedaan zijn!

Als er een toets of deadline niet gemaakt wordt, zonder dat er een geldige reden is doorgegeven, dan geldt de eerstvolgende poging al als een herkansing! Stel dat er aan het eind een onvoldoende gemiddeld eindresultaat is, dan mag deze toets/ opdracht dus NIET herkansd worden!

 

Bij een gemiste toets/ opdracht, waarvoor tijdig een geldige reden is doorgegeven, wordt deze in overleg met de docent ingehaald op een geschikt moment.

Brondocumenten

Dit document is je lesstof. Bij dit document worden verschillende lessen gegeven.

Voor de woordjestoetsen zoek je de moelijke woorden op in dit bestand.

opdrachten die meetellen in de beoordeling

Portfolio opdracht 2 en 3

voor Hardenberg en Zwolle

 

Portfolio opdracht 1

voor Hardenberg 2015.

Voor Zwolle 2017-2018: De oorspronkelijke PF opdracht 1 (waarvan het document doorgestreept nog op intranet te vinden is) wordt vervangen door de LIP-opdracht 'Beeldvorming en rontgenveiligheid'. Deze LIP-opdracht wordt besproken tijdens de LIP-begeleidingsuren vind je in de lijst met LIP-opdrachten van de Groene Welle of in de map 'LiP opdrachten' (onderstaande link):

https://intranet.groenewelle.nl/mijn-mbo/97590-3/Lesstof%20Zwolle/Forms/AllItems.aspx?RootFolder=%2Fmijn%2Dmbo%2F97590%2D3%2FLesstof%20Zwolle%2FLiP%20opdrachten%2FLiP%20opdrachten%2044

 

NB heb je tijd over en/of ben je een paardenliefhebber? Voor de paardenliefhebbers is er een verdiepingsopdracht mogelijk, om je te verdiepen in de veterinaire keuringen bij het paard. Deze vind je hier. (Dit is dus geen inleveropdracht).

NB2 de docent en de deadline zijn anders dan in deze opdracht vermeld:

Docent opdracht 1 = mevrouw Hoogendijk, en de deadline wordt aangegeven tijdens haar LiP-begeleidingsuren.

Docent opdracht 2 en 3 = mevrouw Withaar (withaar@groenewelle.nl), en de deadline is 6 februari 2018 (zie microrooster/toetsrooster voor de exacte datum).

de eerste les: bepalen van doelen, testen voorkennis

De volgende doelen moet je halen tijdens je proeve:

1 Röntgenapparaat vakkundig bedienen (inclusief strooistralenrooster)

2 Veiligheidskleding correct gebruiken

3 Dier vakkundig hanteren

4 Kwalitatief goede foto’s maken

5 Kwaliteit van de gemaakte foto’s beoordelen

6 Hulpmiddelen correct gebruiken

Vul in:

doel mijn score nu (1 = kan ik niet; 10 = kan ik perfect Zo ga ik dit leren na de toets: zo heb ik dit geleerd
1 Röntgenapparaat vakkundig bedienen (inclusief strooistralenrooster)      
2 Veiligheidskleding correct gebruiken      
3 Dier vakkundig hanteren      
4 Kwalitatief goede foto’s maken      
5 Kwaliteit van de gemaakte foto’s beoordelen      
6 Hulpmiddelen correct gebruiken      

 

Via deze link kom je bij de ppt die als introductie gegeven is.

Straling

Lezen hoofdstuk 1.1 brondocument

Maken vragen hoofdstuk 1.1 brondocument

Maken opdracht 1 en 2 (staat onder het brondocument)

Röntgenapparaat en Röntgenfoto

Hoofdstuk 1.2, 1.3, 1.4  lezen

Maken vragen hoofdstuk 1.2, 1.3, 1.4

Maken opdracht 3, 4 en 5

Bij rontgendiagnostiek wordt gebruik gemaakt van diverse onderdelen en hulpmiddelen.

Een deel van deze middelen vind je in het leslokaal, en er is in dit wikiwijs arrangement beeldmateriaal van de diverse zaken, zoals onderstaande films en afbeeldingen.

let op het gebruik van beschermende middelen (lood kleding)

op 2 min 30 zie je duidelijk het gebruik van de cassettehouder

digitale rontgen aan huis

In deze film wordt gebruik gemaakt van een HD-Trog: een "bak" waarin de hond op zijn rug kan liggen, waardoor je de hond beter kunt fixeren.

Een podobok. Hierop wordt de ondervoet van het paard gezet (na verwijdering van hoefijzer, bekappen en opvullen van de zool met groene zeep
Een podobok. Hierop wordt de ondervoet van het paard gezet (na verwijdering van hoefijzer, bekappen en opvullen van de zool met groene zeep
een strooistralen rooster
een strooistralen rooster

Quiz

Veiligheid

Hoofdstuk 1.7  lezen

                        Maken vragen hoofdstuk 1.6

                        Maken opdracht 6, 7 en 8

introductie: de wet

Wet van 21 februari 1963, houdende regelen met betrekking tot de vrijmaking van kernenergie en de aanwending van radioactieve stoffen en ioniserende stralen uitzendende toestellen
Wij JULIANA, bij de gratie Gods, Koningin der Nederlanden, Prinses van Oranje-Nassau, enz., enz., enz.
Allen, die deze zullen zien of horen lezen, saluut! doen te weten:
Alzo Wij in overweging genomen hebben, dat het wenselijk is op het gebied van de kernenergie en de ioniserende stralen een regeling te treffen, in het bijzonder ter bevordering van een goede ontwikkeling op het gebied van de vrijmaking van kernenergie en de aanwending van radioactieve stoffen en ioniserende stralen uitzendende toestellen, zomede ter bescherming tegen de hieraan verbonden gevaren;
Zo is het, dat Wij, de Raad van State gehoord, en met gemeen overleg der Staten-Generaal, hebben goedgevonden en verstaan, gelijk Wij goedvinden en verstaan bij deze:

opdracht: hoe veilig was het op jouw stage?

  1. Deze opdracht maak je individueel.
  2. Denk terug aan je stage.
  3. Beschrijf de veiligheidsmaatregelen die genomen werden bij het maken van foto's.
  4. Benoem hierbij de kritische punten/ waar wordt het spannend/ gevaarlijk?
  5. Bekijk nu de RIVM brochure: Leidraad risicoanalyse stralingstoepassingen  
  6. volg nu de Risico analyse die begint op blz 12 van deze brochure.
  7. Trek een conclusie: waar kan het op jouw praktijk mogelijk veiliger?
  8. Bekijk vervolgens ook de pdf checklist (KNMvD, 2006).
  9. Vul hierbij de vragen in.
  10. Trek opnieuw een conclusie: welke belangrijke punten waren tot op heden aan jouw aandacht ontsnapt?
  11. Maak een collage van je conclusies, en gang deze op in het lokaal (op de collage schrijf je alleen steekwoorden uit je conclusies, en je naam)
 
Alhoewel het in veel praktijken steeds beter gaat, is het nog niet goed genoeg. Lees nu het inspectierapport over de keuring bij dierenartsen.

Brochure: Arbeidsrisico’s bij radioactieve bronnen en röntgentoestellen
Deze brochure gaat over ioniserende straling, beter bekend als radioactieve straling, en wat u moet doen om uw werknemers en uzelf hiertegen te beschermen. Investeren in goede arbeidsomstandigheden draagt bij aan het gezond houden van uw werknemers en uw bedrijf.

RIVM brochure: Leidraad risicoanalyse stralingstoepassingen
Het RIVM heeft een leidraad ontwikkeld waarmee een risicoanalyse kan worden uitgevoerd voor het werken met ioniserende straling. Aanleiding is een signaal van de Arbeidsinspectie dat deze risicoanalyses die bij wet verplicht zijn, te weinig worden opgesteld. Dat komt doordat stralingsdeskundigen vaak niet weten hoe ze zoiets aan moeten pakken. Dit is zorgelijk, omdat de risicoanalyse ten grondslag ligt aan een goed begrip van de risico’s van het werken met straling. Gebruik van de leidraad draagt bij aan een betere veiligheid van werknemers. De Nederlandse wet verplicht ondernemers om voorafgaand aan een handeling met ioniserende straling een risicoanalyse uit te laten voeren. Enkele voorbeelden van dat soort handelingen zijn de controle van lasnaden in gasleidingen met gammabronnen en het maken van een röntgenfoto door een dierenarts.

Assisteren en anatomie

Hoofdstuk 3.1, 3.2

Maken vragen hoofdstuk 3.1, 3.2

Maken opdracht 9

link naar video Your dog ate what?
hierna kunnen ze de opdracht pica doen

positioneren van de patient

Doka

Hoofdstuk 1.5, 1.6

Maken vragen hoofdstuk 1.5 & 1.6

Maken opdracht 10

Radiologisch onderzoek

opdracht

Hoofdstuk 2.1, 2.2, 2.3, 2.4

                       Maken vragen hoofdstuk 2.1, 2.2, 2.3

                       Maken opdracht 11, 12 en 13

 

 

Opdracht 12

a. Wat betekend de afkorting MRI en wat wordt er precies mee bedoelt?

b. Wat betekend de afkorting CT in CT-scan en wat wordt er precies mee bedoelt?

 

Opdracht 13

Welke gezonde organen zie je wel en welke organen zie je niet op een normale röntgenfoto:

Lever:                                                                        Hart:

Urineblaas:                                                                Slokdarm:

Diafragma:                                                                Bijnieren:

Normale uterus:                                                        Periost:

Maag:                                                                        (Gewrichts)kraakbeen:

Trachea:                                                                    Nieren:

Dunne darmlissen:                                                    Omentum:

Dikke darm (colon):

groeipijnen

groeipijn: uitleg dierendokters

dokter Rob over botproblemen bij jonge honden

paard

HD en ED

officiele ED foto's

video pennhip opnames HD

ortolani test (HD)

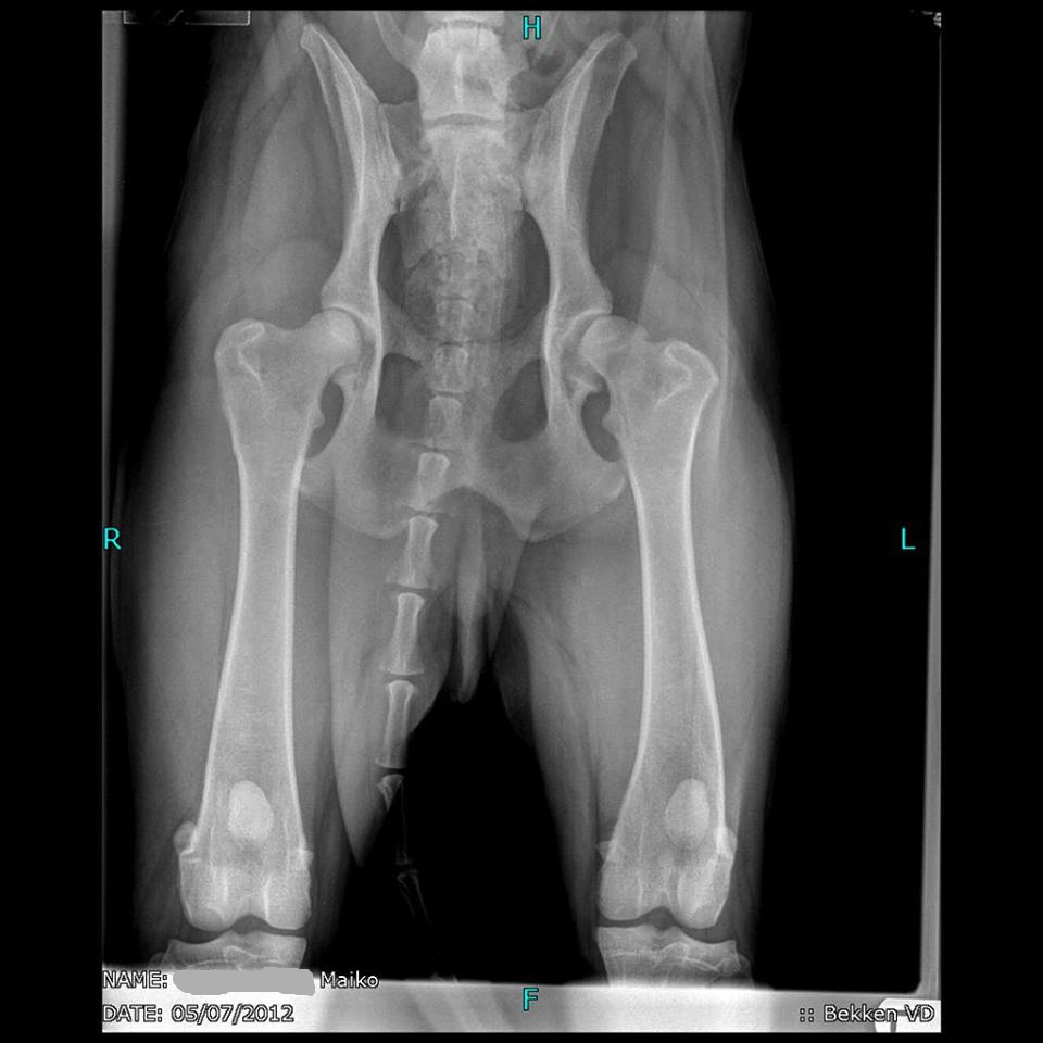
Beoordelen röntgenfoto's / Vaardigheden röntgen oefenen

Maak het eerste gedeelte van de onderstaande opdracht, waarbij je de foto van Maiko gaat beoordelen op kwaliteit.

 

 

Bekijk vervolgens de onderstaande Powerpoint van DK Hellendoorn-Nijverdal, bespreek met je buurman/-vrouw.

 

 

echo

echo onderzoek hart hond

rontgen en echo bij een drachtige hond

Blaasontsteking is een vervelende kwaal. Hierbij het echofilmpje van een hond die daar last van had. De blaas is hier gevuld met witte schaduw en witte massa op de bodem. Dit geeft aan dat er heel veel gruis(kristallen) in de blaas zitten. De oorzaak dat dit gruis ontstond was een vervelende bacterie. Deze werd in het laboratorium gekweekt en er werd onderzocht van welk antibiotica deze bacterie dood gaat. Soms is er wel een kuur van 2 maanden nodig, belangrijk is dat de urine tussentijds en aan het einde van de kuur weer onderzocht wordt of het echt wel voor 100% schoon is.

andere beeldvormende technieken

Opdracht:

  1. Werk in drietallen.
  2. Bestudeer onderstaande presentaties en filmpje, één bekijkt de scintigrafie, één bekijkt de kleuren doppler, de ander CT (moderne techniek bij neusproblemen)
  3. Beschrijf in maximaal 5 zinnen;
  • Wat is scintigrafie/ wat is CT?/ wat is kleuren doppler? van welk principe wordt gebruik gemaakt?
  • Wat is de meerwaarde boven regulier rontgen en/ of echo onderzoek?

4. Vertel je uitleg aan je duo. Als hij/ zij het verhaal snapt, heb je goed samengevat.

5. Snapt hij/ zij het niet, dan wissel je van rol, en bereid je het andere onderwerp voor.

echo hond kleurendoppler hartkleppen

verdiepings materiaal

Medische beeldvorming bij huisdieren
Uitgebreid verslag van mogelijkheden met prachtige voorbeelden van rontgen, echo, ct en mr technieken.

Evaluatie