MZA 2.1 E-learning Pathologie bloedvatenstelsel Stijn Bende

MZA 2.1 E-learning Pathologie bloedvatenstelsel Stijn Bende

handleiding

handleiding

Deze wikwijs sluit aan bij de leerdoelen en eindtermen van de doelgroep waarvoor deze les is samengesteld, te weten: HBO-studenten van de opleiding Gezondheid en Welzijn. Het betreft een digitale les die de student zelfstandig kan maken

Aan de linkerzijde ziet de student een duidelijk overzichtelijk van de verschillende hoofstukken waarin de leerstof is onderverdeeld. Deze hoofdstukken samen omvatten alle informatie m.b.t. het onderwerp "pathologie van het bloedvatenstelsel van het menselijk lichaam".

Om de lesinhoud kracht bij te zetten is er gebruik gemaakt van ondersteuning middels afbeeldingen en/of videomateriaal. Daarnaast zijn er verschillende digitale tools ingebouwd waardoor kennis getoetst kan worden. Het is aan de student om een keuze te maken om eerst de kennis te toetsen alvorens hij/zij de informatiebronnen bestudeert of juist andersom. Op deze manier is de student eigenaar van zijn eigen leerproces wat de leeropbrengst verhoogt.

Als de student zijn opgedane kennis wilt toetsen bestaat er een mogelijkheid om een diagnostische toets te maken, deze vind hij/zij aan het einde van deze digitale les

 

leerdoelen

De student heeft na het maken van deze e-learing:

- kennis opgedaan van de medische termen die in deze e-learing voorkomen.

- kennis van de verschillende ziektenbeelden die voorkomen in het bloedvatenstelsel.

- kennis over oorzaken, symptomen en behandelmethoden van leukemie.

- kennis over oorzaken, symptomen en behandelmethoden van de meest voorkomende hart- en vaatziekten.

- zichzelf getoetst of hij/zij over voldoende kennis van dit onderwerp beschikt.

Het bloedvatenstelsel

Anatomie

Al het onderzoek dat betrekking heeft op de bouw en de vorm (of delen daarvan) van het menselijk lichaam noemt men Anatomie. Als je het hebt over de anatomie van het bloedvatenstelsel specifiek, dan heb je het over het veneuze vaatstelsel.

Er zijn drie soorten bloedvaten:

  • de slagaderen (arteriën) De slagaderen vervoeren zuurstofrijk bloed vanaf het hart naar alle weefsels, spieren en organen
  • aderen (venen).Aderen zijn bloedvaten die zorgen voor de terugstroom van het bloed naar het hart
  • Haarvaten. Kleine bloedvaatjes die rondom organen liggen

Het hart pompt 4 tot 5 liter bloed per minuut rond. Dit bloed zorgt ervoor dat het lichaam wordt voorzien van zuurstof en voedingsstoffen. Het menselijk lichaam kent een grote en een kleine bloedsomloop.

Grote en kleine bloedsomloop
Grote en kleine bloedsomloop

- De kleine en de grote bloedsomloop

In de kleine bloedsomloop komt zuurstofarm bloed het hart binnen en gaat het via de longslagader naar de longen. In de longen geeft het koolzuur af en haalt zuurstof op. Dit zuurstofrijke bloed stroomt vervolgens via de longaderen terug naar het hart.

Vanuit het hart vertrekt in de grote bloedomloop dit zuurstofrijke bloed naar via de aorta naar alle delen van het lichaam. De organen in het lichaam gebruiken de voedingsstoffen en zuurstof uit de haarvaten en geven afvalstoffen af aan de haarvaten. Vervolgens gaat het zuurstofarme bloed weer via de aders terug naar het hart

Fysiologie

Er wordt over fysiologie gesproken op het moment dat het gaat over het onderzoek van de functie maar ook de werking van (delen van) het menselijk lichaam. Dit heeft betrekking op de wetenschap die de functionaliteit van levende organismen bestudeert. Het gaat dus specifiek over de normale werking en eigenschappen van het menselijk lichaam.

In de fysiologie wordt onderscheidt gemaakt tussen vegetatieve (onwillekeurige functies) en animale (willekeurige functies). Deze functies kunnen niet los van elkaar bestaan.

- Vegetatieve functies

de functies die zorgen voor energievoorziening en voor de bouw en groei van het lichaam, oftewel het “in stand houden” van het lichaam.

  • stofwisseling (opname van voedingsstoffen en omzetting hiervan in energie)
  • ademhaling (opname van zuurstof en afgifte van koolzuur)
  • warmtehuishouding (regulatie van de lichaamstemperatuur)
  • uitscheiding (door de nieren en darmen)
  • vervoer (via het vaatstelsel van zuurstof, koolzuur en voedingsstoffen)

- Animale functies

Andere functies, die niet als eerste doel hebben om het lichaam in stand te houden

  • voortplanting
  • beweging
  • contact met de omgeving door middel van zintuigen
  • alle psychische processen in het centrale zenuwstelsel

Pathologie

Pathologie wordt ook wel ziektekunde genoemd. Het gaat hier namelijk over de wetenschap aangaande de anatomische, cellulaire en functionele veranderingen die in een menselijk lichaam door ziekten kunnen ontstaan. Oftewel wetenschap die zich bezighoudt met ziekten.

Op het moment dat we het hebben over de pathologie van het bloedvatenstelsel, dan kun je daarbij dus denken aan alle ziekten die voor kunnen komen in het bloedvatenstelsel.

Veschilende ziektebeelden

Leukemie en hart- en vaatziekten zijn de meest voorkomende ziektenbeelden binnen het bloedvatenstelsel. Omdat er (helaas) bijzonder veel hart- en vaatziekten bestaan zullen in deze les alleen de meest voorkomende hart- en vaatziekten besproken worden.

Cijfers hart- en vaatziekten:

Wist je dat?

In Nederland zijn er zo'n 1,55 miljoen mensen met een chronische hart- of vaatziekte.

En elke dag:

  • sterven 103 mensen aan een hart- of vaatziekte: meer vrouwen dan mannen
  • sterven 50 mannen en 53 vrouwen aan een hart- of vaatziekte
  • sterven 24 mensen jonger dan 75 jaar aan een hart- of vaatziekte
  • worden zo'n 700 mensen in het ziekenhuis opgenomen vanwege een hart- of vaatziekte

bron: https://www.hartstichting.nl/hart-en-vaatziekten/feiten-en-cijfers-hart-en-vaatziekten

Kanker (leukemie)

Leukemie wordt ook wel bloedkanker genoemd. Ondanks dat er in bepaalde families een kleine verhoogde kans is op het ontstaan van leukemie is de ziekte niet erfelijk. Net als alle andere vormen van kanker is ook leukemie niet besmettelijk.

Witte bloedcellen hebben onder andere als functie dat zij het menselijk lichaam beschermen tegen bacteriën, virussen en andere ziekteverwekkers. Een ziektebeeld dat onderdeel uitmaakt van het bloedvatenstelsel is Leukemie. Bij mensen die aan deze ziekte lijden zijn er 2 problemen omtrent de witte bloedcellen. Ten eerste maakt het beenmerg te veel witte bloedcellen aan. Daarnaast rijpen deze witte bloedcellen ook nog eens niet goed uit. Dat houdt in dat in het lichaam van iemand met Leukemie de weerstand afneemt, maar dat is niet het enige. Want doordat de kwaadaardige witte bloedcellen te veel ruimte innemen in het beenmerg, ontstaan er tekorten van de rode bloedcellen en bloedplaatjes.

 

afbeelding: Shutterstock/decade3d - anatomy online
afbeelding: Shutterstock/decade3d - anatomy online

Wat is het verschil tussen acute of chronische leukemie?

Dit heeft te maken met de mate waarin de witte bloedcellen normaal kunnen uitrijpen. Als de witte bloedcellen in het beenmerg niet goed meer uitrijpen en in aantallen snel toenemen spreken we van acute leukemie. In dit geval zal de patiënt snel ziek worden en zonder behandeling snel komen te overlijden.

Op het moment dat de witte bloedcellen nog redelijk goed uit rijpen, mar niet helemaal goed meer werken, spreken we van chronische leukemie. Bij een patiënt met chronische leukemie zal het een tijd duren voordat er klachten optreden.

Welke type witte bloedcel is zich ongecontroleerd aan het delen?

Op het moment dat de leukemiecellen ontstaan in de ontwikkeling van lymfoïde voorlopercel naar de bloedcel, dan spreken we van lymfatische leukemie. Dit is anders dan dat de leukemiecellen ontstaan in de ontwikkeling van de myeloide voorlopercel naar de bloedcel, in dat geval spreken we van myeloïde leukemie.

de meest voorkomende vormen van leukemie zijn:

  • acute lymfatische leukemie (ALL)
  • acute myeloïde leukemie (AML)
  • chronische lymfatische leukemie (CLL)
  • chronische myeloïde leukemie (CML)
  • Hairy-cel Leukemie

 

Lymfatische leukemie

- Acute lymfatische leukemie (ALL)

Jonge witte bloedcellen in het beenmerg rijpen niet uit, maar blijven zich ongeremd delen. Deze cel kopieën noemen we blasten. Deze cellen delen zich ongecontroleerd omdat ze niet meer reageren op signalen uit de omgeving, hierdoor komen er veel abnormale witte bloedcellen in het beenmerg en het bloed. Dit kan resulteren in een vergrote milt, vergrote lever of vergrote lymfeklieren.

Acute lymfatische leukemie wordt onderverdeeld in 2 soorten. B-cel-ALL of T-cel-ALL. Beide cellen (zowel B als T) ontwikkelen zich in het beenmerg, alleen de B-cel verplaatst zich daarna naar de bloedstroom en de t-cel verhuist naar de Thymus. Dit is een klier in de borstholte.

Omdat bij T-cel-ALL vaak de lymfeklieren vergroot zijn, kan dit benauwdheid veroorzaken. Het is daarom soms nodig om deze lymfeklieren te bestralen om deze benauwdheid tegen te gaan, verder is de behandeling hetzelfde. Deze behandeling kan bestaan uit chemotherapie, stamceltransplantatie of doelgerichte therapie.

- Chronische lymfatische leukemie (CLL)

Deze vorm ontstaat in de lymfeklieren, en is in Nederland de meeste voorkomende vorm van Leukemie. Lymfocyten zijn een bepaald soort witte bloedcellen die belangrijk zijn voor het afweersysteem, deze ontstaan in het beenmerg en rijpen vervolgens verder uit. Lymfocyten zitten zowel in het bloed als in het lymfestelsel.

Gewoonlijk sterven cellen na verloop van tijd af. Dit proces heet apoptose. Bij CLL is er een verstoorde apoptose van de B-lymfocyten waardoor deze niet alleen niet goed werken en niet op de normale manier doodgaan, maar ook sneller delen dan normaal. Dit zorgt ervoor dat kwaadaardige B-lymfocyten zich ophopen in het lymfestelsel, het bloed of het beenmerg.

Hierdoor ontstaat een tekort aan:

  • Rode bloedcellen, waardoor bloedarmoede kan ontstaan.
  • Gezonde witte bloedcellen, wat leidt tot een verminderde afweer.
  • Minder bloedplaatjes.

Ongeveer de helft van de patienten met CLL ondervindt geen klachten, de behandling van CLL kan bestaan uit de volgende onderdelen:

• waakzaam wachten (‘wait and see’)

• chemotherapie

• immunotherapie

• doelgerichte therapie

• stamceltransplantatie

• ondersteunende behandelingen

 

Myeloïde leukemie

- Acute myeloïde leukemie (AML)

Grote hoeveelheden abnormale witte bloedcellen verstoren de aanmaak van rode bloedcellen, bloedplaatjes en witte bloedcellen. De ziekte AML wordt grofweg onderscheiden in 4 groepen, te weten:

  • AML waarbij sprake is van chromosoomafwijkingen
  • AML met bijkomende dysplasie (abnormale ontwikkeling van cellen)
  • AML ontstaan door chemotherapie of bestraling voor een andere ziekte
  • AML die niet is in te delen in bovenstaande groepen

De ziekte komt vaker voor bij mannen dan bij vrouwen, de gemiddelde leeftijd bij diagnose is ruim boven de zestig jaar. De prognose voor de vooruitzichten van een patiënt is afhankelijk van de vorm van de ziekte, de leeftijd van de patiënt en de conditie.

- Chronische myeloïde leukemie (CML)

Bij CML komen er te veel witte bloedcellen vanuit het beenmerg in het bloed terecht, ook hopen witte bloedcellen zich op in de milt. Hierdoor kan de milt, en soms ook de lever, sterk vergroot raken. De witte bloedcellen werken wel goed en zijn gezond.

CML verloopt in 3 stadia:

  • chronische fase, de patiënt ondervindt nog weinig symptomen van de ziekte, behandeling is echter wel vereist om te voorkomen om in de andere fases te belanden.
  • acceleratiefase, het aantal witte bloedcellen stijgt in rap tempo
  • blastaire fase, Ook wel de acute fase genoemd. De ziekte vertoont in deze fase veel vergelijking met AML en is in deze fase bijna niet meer te behandelen.

Hairy cel leukemie

- Hairy Cel leukemie

Zeldzame vorm die goed te behandelen, maar niet te genezen is. Net als bij CLL is er bij deze vorm van beenmergkanker iets mis met de B-lymfocyten. Deze witte bloedcellen hopen zich op in de milt en het beenmerg. Deze cellen hebben onder de microscoop zichtbaar lange uitlopers die op haren lijken, vandaar de naam “hairy cell”.

De ziekte wordt vaak in een laat stadium ontdekt en verloopt sluipend en ontwikkelt zich langzaam.

Beantwoord onderstaande 3 open vragen om je kennis te toetsen over hetge:en je zojuist geleerd hebt over leukemie:

Hart en Vaatziekten

onderzoek naar eerder herkennen van hart- en vaatziekten (www.hartstichting.nl)

Bovenstaand filmpje van de hartstichting geeft aan hoe belangrijk het is om de voortekenen van hart- en vaatziekten zo snel mogelijk te kunnen herkennen. In deze wikiwijs vind je daar veel infomatie over terug.

Hart- en vaatziekten is een verzamelnaam voor een hoop verschillende aandoeningen die betrekking hebben op het hart of de bloedvaten. Om die reden dus ook een groot aspect binnen de pathologie van het bloedvatenstelsel. De aandoeningen zijn als volgt in te delen:

  1. Coronaire hartziekten (ziekten van het hart die het gevolg zijn van slagaderverkalking (atherosclerose) of afwijkingen in de kransslagaders.
  2. Cerebrovasculaire aandoeningen (CVA). Zoals herseninfarct, hersenbloeding, TIA
  3. Hartfalen (Decompensatio cordis)
  4. Hartritmestoornissen
  5. Aandoeningen van het endocard, waaronder klepafwijkingen ten gevolge van een infectie, acuut reuma of andere oorzaken zoals atherosclerose. (deze aandoening wordt in deze wiki niet nader besproken)

- Risico's op hart- en vaatziekten

Het risico op hart- en vaatziekten wordt beïnvloed door zowel geslacht als leeftijd. Over het algemeen komt het vaker bij mannen dan vrouwen voor en bij vrouwen vaak ook op hogere leeftijd dan bij mannen. Daarnaast spelen ook verschillende leeftijdsfactoren een rol. Denk hierbij aan:

  • Ongezonde voeding
  • Roken
  • Weinig beweging

Deze leefstijlfactoren beïnvloeden het risico op hart -en vaatziekten direct of indirect, omdat door deze leefstijlfactoren ook overgewicht, een hoge bloeddruk of een te hoog cholesterolgehalte in het bloed, of aandoeningen als COPD en diabetes mellitus kunnen ontstaan.

 

Coronaire hartziekten

Bij een hartinfarct (of hartaanval) raakt een bloedvat van het hart plotseling afgesloten. Het hart krijgt zuurstof en voedingsstoffen via de kransslagaders (coronaire arteriën), deze kransslagaders kunnen langzaam vernauwen door slagaderverkalking. In het begin merk je hier nog weinig van, het wordt vaak het eerst opgemerkt bij heftige emoties of inspanning.

Wanneer een kransslagader van het hart verstopt raakt, doordat een bloedstolsel (trombus) in de kransslagader blijft steken, spreken we van een hartinfarct. Hierdoor krijgt een deel van het hart geen bloed, en dus ook geen zuurstof meer. Hoe eerder dit bloedvat weer open is, hoe beter. Mocht dit gedeelte langere tijd geen bloed en zuurstof ontvangen, dan zal dit geleidelijk afsterven. Het gedeelte waar de hartspier afsterft ontstaat littekenweefsel, het hart pompt wel door, maar op de plek van het littekenweefsel dat het hart niet meer mee.

- Klachten

De klachten bij een hartinfarct kunnen erg verschillen per persoon. Daarnaast kunnen ze plotseling maar ook geleidelijk ontstaan. De meest voorkomende klachten zijn een drukkend, knellend of beklemmend gevoel op de borstkas. Deze pijn houdt ook in rust langer dan 5 minuten aan en kan eventueel uitstralen naar de kaak, hals, bovenarmen, rug of maagstreek.

Andere klachten die voor kunnen komen zijn:

  • Extreme moeheid
  • Kortademigheid
  • Duizeligheid
  • Angst
  • Snelle ademhaling
  • Misselijkheid/braken

Nb. Scherpe steken in de borst wijzen vrijwel nooit op een hartinfarct.

Bij vermoedens van een hartinfarct kan ambulancepersoneel een hartfilmpje laten maken, dit heet een elektrocardiogram (ECG). Daarnaast bestaat er een mogelijkheid om in het laboratorium het bloed te laten onderzoeken op hartenzymen (bepaalde afvalstoffen). Als deze afvalstoffen worden gevonden in het bloed dan duidt dat erop dat er een stukje hartspier (het myocard) is afgestorven.

- Behandeling

Bij constatering van een hartinfarct is het van belang zo snel mogelijk een behandeling te starten. Deze behandeling bestaat uit het toedienen van medicijnen, een dotterbehandeling en/of een bypassoperatie.

  • Medicijnen

Verschillende medicijnen die kunnen worden gebruikt zijn pijnstillers, antistollingsmedicijnen en nitraten ( deze zorgen ervoor dat de kransslagaders iets verwijden.)

 

 

 

bloedvat dotteren en plaatsen van stent
bloedvat dotteren en plaatsen van stent
  • Dotterbehandeling

Deze behandeling is bedoeld om het bloedvat weer open te maken. Door een katheter (buigzaam slangetje) in te brengen via de pols of de lies wordt er een klein ballonnetje is de verstopte kransslagader van het hart gebracht. Is dit ballonnetje aangekomen bij de plek waar de verstopping zit wordt deze iets opgeblazen. Op deze manier wordt de vernauwing opgerekt. Vaak wordt dan gelijk een metalen of kunststofbuisje geplaatst om te voorkomen dat de wand gelijk weer terugveert. Dit heet een stent.

  • Bypassoperatie

Bij een bypassoperatie wordt er door middel van een operatie een omleiding om de vernauwing heen gemaakt.

Cerebrovasculaire aandoeningen (CVA)

In dit hoofdstuk komen de 4 meest voorkomende cerebrovasculaire aandoeningen aan bod. Je spreekt van cerebrovasculaire aandoeningen wanneer de bloedstroom naar een bepaald gedeelte van de hersenen tijdelijk of voor altijd geblokkeerd wordt. Helaas komen beroertes of aneurysma voor, deze kunnen permanente gevolgen hebben en soms zelf fataal zijn. Zo’n verstoring in de bloedstroom kunnen voor 2 grote problemen zorgen:

 

ischemische CVA

Ischemische problemen (zuurstof tekort)

Deze problemen komen het vaakst voor, en worden veelal veroorzaakt door artrose. Artrose is een aandoening die ontstaat door een te hoog cholesterolgehalte in het bloed, waardoor ontstekingen in de slagaderen van de hersenen kunnen ontstaan. De 2 bekendste vormen van ischemische problemen staan hieronder beschreven.

1. Cerebrale veneuze trombose (CVT) beter bekend als beroerte of herseninfarct.

Wanneer een trombus zorgt dat de slagaderen in de hersenen vernauwen en daardoor de bloedstroom geblokkeerd wordt. Een trombus is een bloedpropje dat zich vormt tegen de wand van een belangrijke slagader.

CVT gaat vaak gepaard met waarschuwingssignalen, voordat de slagaderen volledig dichtgaan. Deze signalen kunnen zijn gevoelloosheid of tintelingen aan 1 kant van het lichaam, ernstige hoofdpijn, problemen met communiceren, duizeligheid of moeite met lopen en problemen met het gezichtsvermogen.

Een tijdelijke afsluiting van een bloedvat in de hersenen door een bloedprop is beter bekend als een TIA (Transient Ischemic Attack). Die bloedprop lost weer op en daardoor duren de klachten maar een paar minuten. Een TIA heeft geen blijvende gevolgen maar kan wel een voorbode zijn op een herseninfarct.

2. Cerebrale embolie

Cerebrale embolie (een bloedpropje blokkeert een bloedvat) heeft ook een ischemische oorsprong. Naast trombus (bloedpropje) bestaat ook plaque. Plaque is een opbouw van vetachtige stoffen aan de binnenkant van een bloedvat. Plaquevorming treedt meestal geleidelijk op naarmate je ouder wordt.

Een embolie doet zich voor wanneer zo’n stukje plaque loskomt van de aderwant en vervolgens in de hersenen terecht komt. Dit stukje plaque kan ook ver van de obstructie loslaten, vaak juist in de buurt van het hart.

De waarschuwingssignalen zijn vergelijkbaar met die van CVT. Als er snel gehandeld wordt, dan kan een patiënt het medicijn “alteplase” toegediend krijgen. Dit medicijn is in staat plaque op te lossen.

Bekijk onderstaande video waarin Juf Danielle dieper ingaat op hartproblemen met ischemische oorzaak:

Verdieping herseninfarct

Hemorragische CVA

Hemorragische problemen (geen doorbloeding van weefsel waardoor een te kort aan zuurstof en voedingsstoffen optreed)

In het vorige hoofdstuk zijn de bekendste ischemische aandoeningen besproken. De volgende 2 aandoeningen zijn beide hemorragisch van aard.

1. Hersenbloeding of intracerebrale bloeding

Bij een aneurysma raakt een deel van het bloedvat abnormaal verwijd. Op het moment dat dit bloedvat knapt dan spreken we van een hersenbloeding. Een hersenbloeding doet zich plotseling voor, meestal in de kleine slagaders in het hoofd. Er ontstaat een bloedbel in de hersenen die groter wordt totdat het omringende weefsel voldoende tegendruk biedt. De schade die een hersenbloeding aanricht kan groot zijn, in de meeste gevallen groter dan de schade door een beroerte. Bij een hersenbloeding kan een aangeboren zwakke plek in de slagaderwand de oorzaak zijn. Maar de belangrijkste risicofactor voor een hersenbloeding is een te hoge bloeddruk, waardoor er langdurig extra druk op de slagaderwand wordt uitgeoefend.

2. Subarachnoïdale bloeding

Dit kan zich voordoen wanneer er sprake is van een te hoge bloeddruk. In dit geval zal er ook een bloedvat knappen, maar dit bloedvat zit aan het oppervlak van de hersenen, dus in het deel tussen de hersenen en de schedel. Dit zal echter nooit in de hersenen zelf terecht komen.

Het duidelijkste symptoom heeft te maken met je gezichtsvermogen. Het kan zijn dat je zeer felle lichten ziet of zelfs een paar minuutjes niets. Andere symptomen die horen bij deze aandoening zijn ongemak bij fel licht, problemen met de concentratie, nek en schouderpijn, plotselinge aanvallen, braakneigingen en duizeligheid.

 

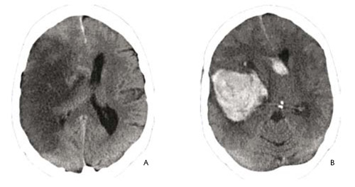
op de onderstaande afbeelding zijn 2 CT scans zichtbaar:

Links is een scan zichtbaar van een herseninfarct, door afsluiting van een slagader valt een deel van de hersenen uit door gebrek aan zuurstofrijk bloed. Het bloedarme gedeelte tekent zich donkergrijs af.

Rechts is een scan zichtbaar van een hersenbloeding, Door een scheur in de slagaderwand is bloed in het hersenweefsel terecht gekomen. Het bloed in het hersenweefsel tekent zich lichtgrijs af

Hieronder staat een link om je kennis te toetsen middels het maken van een quizlet. Klik op de pagina van Quizlet links onderin op zwaartekracht om extra uitgedaagd te worden

Test hier of alle begrippen je goed zijn bijgebleven

hartfalen

Bij hartfalen werkt je hart minder goed. Het knijpt of niet goed samen, of kan zich niet goed ontspannen. In beide gevallen lukt het hierdoor niet om het bloed goed rond te pompen en zal er dus op der duur een gebrek aan voedingstoffen en/of zuurstof in organen en spieren ontstaan. De bloedvaten raken vol en er lekt vocht uit. Dit gebeurd voornamelijk naar de longen, buik, benen en enkels.

Klachten bij hartfalen ontstaan in eerste instantie bij inspanning, maar later ook in rust. De meest voorkomende klachten zijn kortademigheid, vermoeidheid, of vocht vasthouden.

 

 

Er zijn verschillende vormen van hartfalen:

  1. Het hart knijpt minder goed (systolisch hartfalen)

Bij deze vorm verliest het hart spierkracht. Hij is groter, dunner en slapper dan normaal. Het vullen met bloed gaat nog prima, maar het samenknijpen verloopt moeizaam

  1. Hartfalen door een stijve hartspier (diastolisch hartfalen)

Hier is het net omgekeerd, het hart knijpt wel goed samen, maar kan zich niet goed ontspannen. Hierdoor loopt het niet helemaal vol met bloed, waardoor er per hartslag minder bloed wordt rondgepompt.

De meest voorkomende oorzaken van hartfalen zijn een eerder hartinfarct, of jarenlang een te hoge bloeddruk. Hartfalen is lastig vast te stellen en komt vaak samen voor met (een) andere aandoening(en). Bij hartfalen worden vaak medicijnen voorgeschreven als behandeling. Afhankelijk van de ernst en de vorm kunnen dit bloeddrukverlagers zijn (denk hierbij aan ACE remmers en/of bètablokkers) of plasmiddelen zijn. Deze plasmiddelen voeren het teveel aan vocht af en kunnen kortademigheid verminderen.

Klik op deze link om te controleren of je goed hebt onthouden wat je zojuist gelezen hebt
Quiz nearpod

Hartritmestoornissen

Je hartritme wordt bepaald door het aantal slagen per minuut dat je hart maakt. Dit ritme verschilt per persoon en hangt daarnaast ook van andere zaken af zoals bijvoorbeeld de inspanning die het menselijk lichaam op dat moment moet leveren. De hoogte van je hartslag wisselt de hele dag. Het hart past zich voortdurend aan de omstandigheden aan. Als je stil zit of slaapt heb je een lage hartslag. Je organen hebben dan minder zuurstof en voedingsstoffen nodig. Zodra je je inspant gaat de hartslag omhoog.

In rust klopt het hart gemiddeld tussen de 60 en 100 slagen per minuut. Bij elke hartslag vult het hart zich met bloed. Daarna trekt de hartspier samen om bloed naar je organen en spieren te pompen. Tijdens elke hartslag gaan er elektrische prikkels door het hart. Je kan dit vergelijken met een spelletje domino. De cellen in de hartspier vormen samen een reeks dominostenen. Deze geven een elektrische prikkel aan elkaar door.

Sporters hebben vaak een lagere hartslag. Dit heeft te maken met het feit dat het hart van sporters door regelmatige en intensieve trainingen groter en sterker is geworden. Zo’n sterke hartspier werkt efficiënter en pompt per keer meer bloed rond.

Een hartslag kan om verschillende redenen omhoog gaan, bijvoorbeeld bij fysieke inspanning. Op dat moment hebben de spieren en organen meer zuurstof en voedingsstoffen nodig en om dat te kunnen bewerkstelligen zal het hart sneller moeten rondpompen.

Ook door emoties kan de hartslag toenemen. In dat geval geeft het zenuwstelsel prikkels af aan de sinusknoop. Die geeft dan op zijn beurt sneller elektrische impulsen af, bij hevige emoties zoals opwinding of angst kan de hartslag om deze reden flink oplopen.

- Hartkloppingen

Hartkloppingen kunnen voor iedereen anders aanvoelen. Het hart kan snel of onregelmatig kloppen of erg bonsen. Om deze redenen kunnen ze een onaangenaam gevoel geven. Maar het hart kan ook snel of onregelmatig kloppen zonder dat je het door hebt. Wanneer het voelt alsof je hart soms een slag overslaat noem je dit hartoverslagen.

Vaak zijn deze hartkloppingen een normale reactie van het menselijk lichaam op prikkels. Over het algemeen zijn hartkloppingen onschuldig, maar kunnen zijn wel een gevolg zijn van een onderliggende aandoening. Hartkloppingen komen bijvoorbeeld voor bij:

  • een schildklieraandoening
  • hartaandoeningen of bijvoorbeeld na een ingreep aan het hart
  • hoge bloeddruk
  • bloedarmoede
  • koorts
  • paniekstoornis
  • hyperventilatie

Bij een hartritmestoornis klopt je hart te snel, te langzaam of onregelmatig, dat komt doordat er iets mis is met de elektrische prikkels. De elektrische prikkels komen te snel of te langzaam of ze volgen de verkeerde weg. Dit kan het ritme beïnvloeden, te weten:

1. het hart klopt te langzaam (bradycardie)

voorbeelden van hartritmestoornissen waarbij er sprake is van een te lage hartslag zijn:

  • Sick-sinus-syndroom
  • ​AV-blok
  • Bundeltakblok
  • Storing in bundel van His of Purkinjevezels

2. het hart klopt te snel (tachycardie)

voorbeelden van hartritmestoornissen waarbij er sprake is van een te hoge hartslag zijn:

  • Boezem/Atriumfibrilleren (hoge en ook onregelmatige hartslag)
  • Boezemtachycardie
  • Boezemflutter of fladderen
  • Kamer/Ventrikelfibrileren
  • Kamertachycardie
  • AV-nodale re-entry tachycardie
  • Catecholaminerge Polymorfe Ventriculaire Tachycardie
  • Inappropriate Sinus Tachycardie
  • Wolff-Parkinson-White syndroom

3. het hart klopt onregelmatig

4. de boezems en kamers werken niet goed samen

 

In onderstaand filmpje vertelt Juf danielle meer over Atriumfibrilleren:

 

 

Juf Danielle legt in deze video de oorzaken, symptomen en behandeling van atriumfibrilleren uit

- Hartstilstand

Bij een hartstilstand staat het hart meestal niet helemaal stil.  Ook dan is er vaak iets mis met het elektrische systeem van het hart. De hartkamers trillen snel en chaotisch. Het hart kan daardoor geen bloed meer rondpompen. Hierdoor staat de bloedsomloop stil.

- Behandeling

Niet bij iedere hartritmestoornis is een behandeling noodzakelijk, of er een behandeling nodig is dat hangt af van:

  • de plek in het hart waar de ritmestoornis ontstaat
  • de oorzaak van de ritmestoornis
  • de ernst van de ritmestoornis

Behandeling kan bestaan uit medicatie, of bijvoorbeeld een ingreep om de oorzaak weg te nemen zoals een hartklep of een bypass operatie. Andere ingrepen die kunnen worden toepast zijn:

  • Cardioversie: onder narcose toedienen van een elektrische schok om zo het normale hartritme te herstellen
  • Ablatie: het maken van kleine littekens op de plek waar de ritmestoornis ontstaat, zodat de prikkels vanaf die plek geblokkeerd worden
  • Pacemaker: een apparaatje onder je huid dat ervoor zorgt dat je hart niet te langzaam gaat kloppen
  • ICD: een apparaatje onder je huid dat een schok geeft bij een levensgevaarlijke ritmestoornis

Diagnostische toets

Bronnen

www.kanker.nl

www.hartstichting.nl

www.zorggegevens.nl ( CBS Doodsoorzakenstatistiek)

www.menselijklichaam.nl

www.gezonderleven.nl

www.gezondheidsplein.nl

De Jufdanielle academie (https://www.youtube.com/channel/UC9xl-7L_w9JFuzZ8RXloirg)

Thieme/Meulenhof (Anatomie & Fysiologie van de mens)

 

  • Het arrangement MZA 2.1 E-learning Pathologie bloedvatenstelsel Stijn Bende is gemaakt met Wikiwijs van Kennisnet. Wikiwijs is hét onderwijsplatform waar je leermiddelen zoekt, maakt en deelt.

    Auteur
    stijn bende
    Laatst gewijzigd
    2020-11-06 20:13:13
    Licentie

    Dit lesmateriaal is gepubliceerd onder de Creative Commons Naamsvermelding 4.0 Internationale licentie. Dit houdt in dat je onder de voorwaarde van naamsvermelding vrij bent om:

    • het werk te delen - te kopiëren, te verspreiden en door te geven via elk medium of bestandsformaat
    • het werk te bewerken - te remixen, te veranderen en afgeleide werken te maken
    • voor alle doeleinden, inclusief commerciële doeleinden.

    Meer informatie over de CC Naamsvermelding 4.0 Internationale licentie.

    Aanvullende informatie over dit lesmateriaal

    Van dit lesmateriaal is de volgende aanvullende informatie beschikbaar:

    Toelichting
    Informatie m.b.t. de pathologie van het menselijk bloedvatenstelsel
    Eindgebruiker
    leerling/student
    Moeilijkheidsgraad
    gemiddeld
    Studiebelasting
    4 uur 0 minuten

    Bronnen

    Bron Type
    onderzoek naar eerder herkennen van hart- en vaatziekten (www.hartstichting.nl)
    https://www.youtube.com/watch?v=7rkQQ1Pr0tA
    Video
    Verdieping herseninfarct
    https://youtu.be/gtif4NA-Q6Q
    Video
    Test hier of alle begrippen je goed zijn bijgebleven
    https://quizlet.com/_8y0z7e?x=1qqt&i=359n4n
    Link
    Klik op deze link om te controleren of je goed hebt onthouden wat je zojuist gelezen hebt
    https://share.nearpod.com/dpznxt2lUab
    Link
    Juf Danielle legt in deze video de oorzaken, symptomen en behandeling van atriumfibrilleren uit
    https://youtu.be/avTAYdXboNo
    Video
  • Downloaden

    Het volledige arrangement is in de onderstaande formaten te downloaden.

    Metadata

    LTI

    Leeromgevingen die gebruik maken van LTI kunnen Wikiwijs arrangementen en toetsen afspelen en resultaten terugkoppelen. Hiervoor moet de leeromgeving wel bij Wikiwijs aangemeld zijn. Wil je gebruik maken van de LTI koppeling? Meld je aan via info@wikiwijs.nl met het verzoek om een LTI koppeling aan te gaan.

    Maak je al gebruik van LTI? Gebruik dan de onderstaande Launch URL’s.

    Arrangement

    Oefeningen en toetsen

    Anatomie

    verschillende functies in de fysiologie

    vragen leukemie

    diagnostische toets over de pathologie van het bloedvatenstelsel

    IMSCC package

    Wil je de Launch URL’s niet los kopiëren, maar in één keer downloaden? Download dan de IMSCC package.

    QTI

    Oefeningen en toetsen van dit arrangement kun je ook downloaden als QTI. Dit bestaat uit een ZIP bestand dat alle informatie bevat over de specifieke oefening of toets; volgorde van de vragen, afbeeldingen, te behalen punten, etc. Omgevingen met een QTI player kunnen QTI afspelen.

    Voor developers

    Wikiwijs lesmateriaal kan worden gebruikt in een externe leeromgeving. Er kunnen koppelingen worden gemaakt en het lesmateriaal kan op verschillende manieren worden geëxporteerd. Meer informatie hierover kun je vinden op onze Developers Wiki.