Erfelijkheid

Erfelijkheid

Startpagina

Hallo allemaal,

Mijn naam is Oguzhan Demir. Ik ben momenteel 20 jaar en zit in mijn 2de jaar in de biologie leraren opleiding op de Hogeschool in Rotterdam.

Ik vond het docentenschap altijd zelf niks toen ik op de middelbare school zat. Ik maakte allerlei grapjes met klasgenoten en vrienden over hoe erg het wel niet is om een beroep als dit te hebben. Maar door allerlei omstandigheden is het zo uitgepakt dat ik er zelf in ben beland. Ondanks dat ben ik zeer maar dan ook echt zeer tevreden met mijn keuze en kan ik niet wachten om dit beroep uit te oefenen. Afgelopen jaar had ik al stage mogen lopen en dat heeft me alleen positieve herrineringen achter gelaten. Ook heb ik is mijn Propedeuse gehaald in 1  jaar en ben ik dus zeer gemotiveerd voor deze opleiding en mijn vakgebied.

Op mijn site ga ik in op het thema erfelijkehid. Erfelijkheid is meestal het onderwerp wat wordt gekozen door leerlingen op de middelbare school als het meest abstracte onderwerp in de biologie. Mijn doel is om hier verandering aan te brengen met mijn zelfgemaakte site en vandaar ook mijn keus voor dit onderwerp.

De site heb ik zo onderverdeeld in deelonderwerpen zodat het voor jullie overzichtelijk is wat ik van het thema erfelijkheid wil gaan behandelen met jullie. Voor elk onderdeel zal ik een korte toelichting of instructie geven wat ik van jullie verwacht en wat ik aan jullie zal aanbieden en wat jullie hier natuurlijk allemaal voor nodig hebben. Lees rustig, blijf kalm, doe je best en ik wens jullie allemaal heel veel succes!

 

 

 

 

Opgehaald van: https://pixabay.com/nl/boogschieten
-doel-pijlen-bogensport-2230855/

 

 

Na het doorlopen van mijn site zijn de bezoekers in staat om:

• De functie te kunnen benoemen van chromosomen.

• Uit te kunnen leggen hoe het fenotype en genotype tot stand komen.

• Verschillen op te kunnen noemen tussen autosomen en geslachtschromosomen.

• Gebruik te kunnen maken van stambomen bij het berekenen van kansen op genotype en fenotype.

• Kansen berekenen voor genotype en fenotype bij verschillende typen kruisingen.

• Wat voor afwijkingen er bestaan als er een verandering ontstaat in het DNA en wat de gevolgen hiervan zijn.

 

 

Inhoud

Erfelijkheid is een zeer breed onderwerp in de biologie. Er komt veel bij kijken. Zo gaan we helemaal terug naar verhalen over ons  verleden over hoe onze opa en oma er wel niet uitzagen en of dit nog steeds terug is te zien bij hun kinderen en/of kleinkinderen. Hierbij gaan we gebruik maken van stambomen en kruisingsschema's om een schatting te krijgen om te kunnen weten hoe groot de kans is dat bepaalde erfelijke eigenschappen worden overgeërfd. Verder willen we ook natuurlijk weten wat die erfelijke eigenschappen zijn en waar ze vandaan komen en hoe het komt dat ze zijn zoals ze nu in huidige vorm zijn. Natuurlijk zouden we ons ook afvragen wat er zou gebeuren als er iets misgaat of als er een verandering optreedt in ons erfelijk materiaal.

 

Een afbeelding van DNA
Opgehaald van:  https://pixabay.com/nl/dna-biologie-geneeskunde-gen-163466/

Op de site gaan we in op de volgende deelonderwerpen:

- Chromosomen en wat de relatie is met jezelf en je familie

- De werking van stambomen

- Overerving en gemixte eigenschappen

- Erfelijke aandoeningen in de familie

 

Hoeveel tijd is er beschikbaar?: 60 minuten.

Hoe moet er gewerkt worden?: in een zelfstandige werkhouding.

Waaruit bestaat de beschikbare hulp?: De site.

Wat gebeurt er met de uitkomsten?: Zal worden getoetst in de opdrachten.

Wat moet er gebeuren als je klaar bent?: Aan de beschibare oefeningsopdrachten werken.

Wat moet je doen?: Lees alle inhoudelijke theorie die beschikbaar is op de site.

Chromosomen

Elk organisme beschikt over Desoxyribonucleïnezuur of ook wel afgekort DNA genoemd. Elk organisme heeft zijn eigen DNA die alle informatie bevat die nodig is voor om je lichaam te laten werken. In dit figuur hieronder links zie je een lange omwenteling van DNA die bij elkaar wordt opgevouwen in 2 lange gelijke strengen. Deze paar aan strengen worden chromosomen genoemd. Deze informatie is afkomstig van je ouders. Een streng is afkomstig van je moeder en de andere streng is afkomstig van je vader.  Die informatie bij elkaar vormt jouzelf.

 

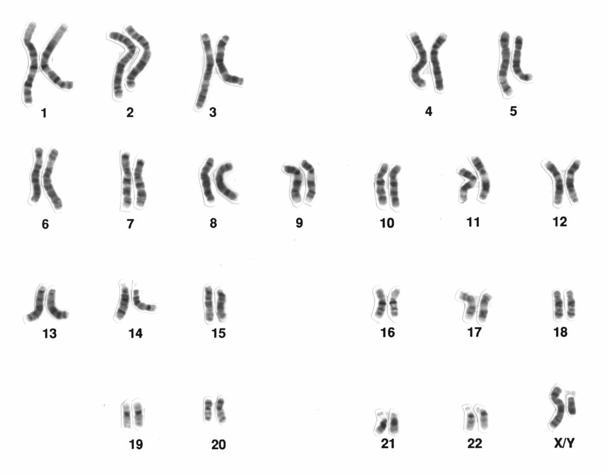
Elk (gezond) mens heeft in totaal 46 aantal chromosomen. 23 zijn afkomtsig van de moeder en de overige 23 van de vader. De 2 chromosomen die samen een paar vormen woden homologe chromosomen genoemd. Een overzichtelijke rangschikking aan chromosomen van een persoon wordt ook wel een karyogram genoemd wat te zien is in figuur 2. In een karyogram staat het grootste chromosomenpaar vooran. Dat is paar 1. Daarna volgen chromosoomparen 2 tot en met 22. Deze worden autosomen genoemd. De laatste paar dus nummer 23 bepaalt het geslacht. Dit zijn de geslachtschromosomen. Is het een XX- chromosomenpaar dan ben je een meisje. Is het een XY- chromosomenpaar dan ben je een jongen.

Soms kan het voorkomen dat een persoon 1 chromosoom meer of minder in zijn of haar karyogram te zien is. Dit kan komen door dat er een storing was ontstaan tijdens de fase van meiose waardoor de verdeling van chromosomen niet verliep zoals het moest. Een voorbeeld van zo een situatie is het syndroom van Down. Dan zijn er 3 chomosomen i.p.v. 2 chromosomen op het chromosomenpaar 21 te zien in het karyogram. Dit heeft als gevolg voor de slachtoffer van dit syndroom dat hij of zij een verstandelijke beperking heeft.

Dit resulteert dat er eigenschappen zijn die aangeboren of erfelijk zijn van de mens. Een erfelijke aandoening is zoals het syndroom van Down een erfelijke aandoening. Er is sprake van een afwijking in het erfelijk materiaal van de ouders die het kind van hun erft. Een aangeboren aandoening is daarintegen die voor de geboorte is ontstaan tijdens de zwangerschap.

 

Wat zijn chromosomen?
Opgehaald van: https://commons.wikimedia.org/wiki/
File:Chromosoom_Dutch_text.png
Karyogram
Opgehaald van: https://commons.wikimedia.org/wiki/
File:Human_male_karyotpe_high_resolution.jpg

Stambomen

Soms kijk je wel is naar familiefoto's van jezelf, vrienden of andere en dan zullen opmerkinge als:' hij heeft precies jouw neus' of " net als de ogen van zijn moeder' e.d. opmerkingen worden opgenoemd. Voor opmerkingen als deze heeft het thema erfelijkheid wel een antwoord op. Het komt namelijk door de strijd van de dominante vs. de recessieve allelen. Een allel is de gekozen eigenschap die tot uiting wordt gebracht van de vartiatie aan genen die ter beschikking is van het organisme. Allelen bijelkaar die tot uting wordt gebracht wordt het genotype genoemd. Niet alle eigenschappen zijn uitsluitend terug te voeren op erfelijke factoren. Vaak speelt de omgeving, het milieu, ook een rol. Het resultaat van het samenspel tussen erfelijke factoren en het milieu is het fenotype.

 

In stambomen is duidelijk altijd te zijn wie allemaal in de familie de 'drager' is van een bepaalde eigenschap. Het kan zijn voor het hebben van rood haar, sproeten, blauwe ogen maar ook negatieve ziektes etc.         

Zo kan er worden afgeleid uit de stamboom dat iemand beschikt over het genotype:

Aa: een slachtoffer is van de aandoening

aa: geen slachtoffer is van de aandoening

AA: ook een slachtoffer is van de aandoening

 

 


Stambomen
Opgehaald van:https://nl.wikipedia.org/wiki/Dominant_
(genetica)#/media/File:Stamboomdominant.PNG
Dominant vs. recessief
Opgehaald van: https://upload.wikimedia.org/wikipedia/
commons/7/7d/Famille_nucl%C3%A9aire.jpg

 

Overervingen en gemixte eigenschappen

Biodiversiteit is de term die wordt gebruikt om aan te duiden hoe groot de verschiedenheid is tussen gelijke organismes in de biologie.Over de werking en dus het onstaan van deze verschiedenheid heeft het thema erfelijkheid hier een antwoord op. In dit filmpje hieronder gaan jullie samen met mij ontdekken wat voor kruisingen er allemaal zijn, waar ze voor dienen en de onderlinge verschillen tussen elkaar. Zet het filmpje op pauze indien je zelf een poging wilt wagen om de voorbeeldopgaves te gaan maken die ik hieronder in het filmpje behandel.

Erfelijke aandoeningen in de familie

Hedendaags kunnen specialisten een erfelijkheidsonderzoek verrichten in het ziekenhuis om te kunnen kijken of er een aandoening is in de familie. Hiermee kunnen ze een grondig DNA-onderzoek doen en kijken of het ongeboren kind mogelijk een slachtoffer is van een bepaalde ziekte die gedragen wordt in de familie.

Taaislijmziekte was in de jaren 90 een moeilijke erfelijke ziekte die lastig te bestrijden was. Uitgerekend was dat men maar 7 jaar het zou kunnen volhouden met deze ziekte. Allelen die de oorzaak zijn van dat een embryo niet levensvatbaar is en dus vroegtijdig de dood veroorzaken worden letale allelen genoemd.

Vandaag de dag dankzij allerlei geadvenceerde technieken is er ook sprake van genetische modificatie en embryo selectie. Hierbij is men in staat om kunstmatig te selecteren welke genen er worden toegelaten bij een embryo of kunnen specifieke genen worden bestreden in het menselijk lichaam om tegen een aandoening te vechten van de patient.

Taaislijmziekte
Opgehaald van: Nectar 3de editie, 2de fase

 

Oefening

Nudat alle theorie achter de rug is het tijd om te beginnen aan de opdrachten. Zelfstandig gaan jullie nu aan de slag met de opdrachten die aanwezig zijn op de site. Er zijn totaal 3 opdrachten: A,B en C. Ik wil dat je begint met opdracht A. Als het blijkt dat je 2 of meer dan 2 fouten hebt, attendeer ik om opdracht B te gaan doen. Is het zo dat je 1 of geen fouten hebt, dan adviseer ik om direct te beginnen met opdracht C. Er is noch een tijdslimiet verbonden aan de opdrachten, noch mogen jullie gebruik maken van de theoretische informatie die aanwezig is op de site. De resultaten van de oefentoetsen zullen worden gebruikt als feedback materiaal. Zodra je klaar bent met de oefenopdrachten mag je door gaan naar de eindtoets.

Opdracht A

In Opdracht A komen jullie in aanmerking met Edpuzzle. In Edpuzzle krijgen jullie een videofragment te zien die steeds naar mijn gekozen moment stopt en jullie een vraag stelt die ik heb verzonnen in relatie met het filmpje. De vraag-type kan variëren van open vragen naar meerkeuze vragen e.d.

 

 

 

 

 

Opdracht B

Wees niet getreurd omdat je 2 of meer fout hebt gemaakt in de vorige opdracht. Van fouten leren we eenmaal en dat is alleen maar goed. Opdracht B is een combineer opdracht. Hierbij verbind je de juiste keuze mogelijkheden met elkaar.

Opdracht C

Proficiat als je hier bent beland na het maken van opdracht A. In opdracht C krijgen jullie in totaal 26 vragen met de internet tool Formative. Hier krijgen jullie een mix van allerlei verschillen opdracht types in verschillende niveaus. Veel succes!

 

Toetsing

  • Het arrangement Erfelijkheid is gemaakt met Wikiwijs van Kennisnet. Wikiwijs is hét onderwijsplatform waar je leermiddelen zoekt, maakt en deelt.

    Auteur
    Oguzhan Demir
    Laatst gewijzigd
    2017-11-10 16:09:45
    Licentie

    Dit lesmateriaal is gepubliceerd onder de Creative Commons Naamsvermelding 3.0 Nederlands licentie. Dit houdt in dat je onder de voorwaarde van naamsvermelding vrij bent om:

    • het werk te delen - te kopiëren, te verspreiden en door te geven via elk medium of bestandsformaat
    • het werk te bewerken - te remixen, te veranderen en afgeleide werken te maken
    • voor alle doeleinden, inclusief commerciële doeleinden.

    Meer informatie over de CC Naamsvermelding 3.0 Nederland licentie.

    Aanvullende informatie over dit lesmateriaal

    Van dit lesmateriaal is de volgende aanvullende informatie beschikbaar:

    Toelichting
    leerlingen aan de middelbare school hebben meestal moeite met het hoofdstuk erfelijkheid. Als toekomstige docent is het mijn plicht om leerlingen te helpen die behoefte hebben aan hulp.
    Leerniveau
    HAVO 4; HAVO 5; VWO 4;
    Leerinhoud en doelen
    Biologie; Reproductie; Erfelijkheid;
    Eindgebruiker
    leerling/student
    Moeilijkheidsgraad
    gemiddeld
    Studiebelasting
    3 uur 0 minuten
  • Downloaden

    Het volledige arrangement is in de onderstaande formaten te downloaden.

    Metadata

    LTI

    Leeromgevingen die gebruik maken van LTI kunnen Wikiwijs arrangementen en toetsen afspelen en resultaten terugkoppelen. Hiervoor moet de leeromgeving wel bij Wikiwijs aangemeld zijn. Wil je gebruik maken van de LTI koppeling? Meld je aan via info@wikiwijs.nl met het verzoek om een LTI koppeling aan te gaan.

    Maak je al gebruik van LTI? Gebruik dan de onderstaande Launch URL’s.

    Arrangement

    IMSCC package

    Wil je de Launch URL’s niet los kopiëren, maar in één keer downloaden? Download dan de IMSCC package.

    Voor developers

    Wikiwijs lesmateriaal kan worden gebruikt in een externe leeromgeving. Er kunnen koppelingen worden gemaakt en het lesmateriaal kan op verschillende manieren worden geëxporteerd. Meer informatie hierover kun je vinden op onze Developers Wiki.